« East Walker River RV camping | Main | Lisa at 16 weeks »

tulia/2004-06-26/06-24-2004_Tummy-1024.jpg tulia/2004-06-26/06-24-2004_Ultrasound-1024.jpg

June 26, 2004

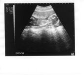
Lisa at 15 weeks

Our baby is 15 weeks now. This is an ultrasound that was taken today. Aside from aches and pains, everything seems to be normal. The beeb is growing like a weed. Also here is a picture of her tummy.

Posted by mku at June 26, 2004 04:52 PM

Comments

Post a comment




Remember Me?